公众版
|
国际版
|
办公中心
|
企业邮箱
0311-66002999
首页
医院概况
医院介绍
科室介绍
新闻公告
医院动态
医院公告
媒体聚焦
视频新闻
人才招聘
特色医疗
特色医疗技术
特色医疗模式
中西医协同
科室特色
医学教育
本科教育
研究生教育
住培专培
免费进修
科学研究
学科建设
科研平台
科研伦理
科研动态
图书馆
共享平台
百年二院
医院文化
医院历史
医院影音
健康科普
CN
EN
CN
EN
公众版
国际版
办公中心
企业邮箱
0311-66002999
首页
医院概况
医院介绍
科室介绍
新闻公告
医院动态
医院公告
媒体聚焦
视频新闻
人才招聘
特色医疗
特色医疗技术
特色医疗模式
中西医协同
科室特色
医学教育
本科教育
研究生教育
住培专培
免费进修
科学研究
学科建设
科研平台
科研伦理
科研动态
图书馆
共享平台
百年二院
医院文化
医院历史
医院影音
健康科普
首页
>
新闻公告
>
医院动态
>
正文
新闻公告
医院动态
医院公告
媒体聚焦
视频新闻
新闻公告
医院动态
医院公告
媒体聚焦
视频新闻
70岁、76岁、82岁,河北医大二院成功实施三例高难度腹膜后巨大肿瘤切除术
发布时间:
2025-06-16
小
中
大
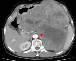
箭头示为患者一的腹膜后肿瘤
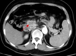
箭头示为患者二的腹膜后肿瘤
箭头示为患者三的胰头部恶性肿瘤
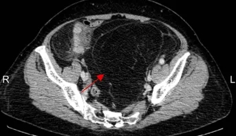
箭头示为患者三的腹膜后肿瘤 延伸至盆腔
上一篇:
“医”路相伴 一生无“幽” | 河北医大二院开展幽门螺杆菌科普讲座
下一篇:
河北医大二院牵头成立省急救医学会皮肤专业委员会
分享到