
近日,我院内科专业基地组织开展心内科情景模拟教学项目,教学模拟急性ST段抬高型心肌梗死场景,构建“课前测评—沉浸式演练/全程观摩—闭环复盘—二次强化”的全流程培养模式,着力提升住培医生临床实战能力与认知水...

近日,我院整形修复与体表肿瘤科门诊迎来了一位复查的患者——来自赵县的尹大爷。69岁的他精神矍铄:“多亏刘主任团队及时手术,现在我走路干活都不碍事了,取皮的伤口也恢复成一条细线,以后身体有啥不对劲,我一定...

近日,2026年度中国呼吸学科发展大会在北京召开。我院阎锡新、袁雅冬、蔡志刚、孟爱宏等多位呼吸与危重症医学专家率队参会,展示了我院在学科建设、质控管理与临床照护方面的成果。 会议...

一个瘤颈宽大、形态复杂、累及重要分支血管的大脑动脉瘤,传统的夹闭或介入治疗均无法完成治疗。生死一线间,我院神外五病区吴建梁团队果断抉择,实施了一项犹如“血管移花接木”的血管重建技术:先将远端血管巧妙吻...

近日,我院内分泌科甲状腺微创介入中心凭借射频消融术,为甲状腺结节患者提供了微创治疗新选择,重塑甲状腺结节治疗格局。该技术无需传统手术的漫长疤痕与恢复期,仅靠一枚细如笔芯的射频针,在超声实时引导下精准治...

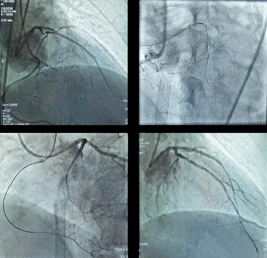
63岁的杜先生因“咽部紧缩感6个月,加重20天”入院。这个看似普通的症状背后,隐藏着一颗正在衰竭的心脏。 在心内一科,他被确诊为急性非ST段抬高型心肌梗死、慢性心力衰竭急性加重。患者心脏明显扩大,进一步的检查...